Nhân trường hợp một bé tới khám với tình trạng sâu răng do bú bình ban đêm. Nha khoa Trinh Tâm mong muốn giúp các bậc phụ huynh hiểu rõ hơn về tình trạng này để biết cách phòng tránh!
MỤC LỤC NỘI DUNG
- Nguyên nhân gây sâu răng ở bé bú bình ban đêm?
- Những lưu ý đối với trẻ bú bình?
- Không cho con bạn uống sữa hoặc các thức uống có đường khác trước khi đi ngủ.
- Tránh cho trẻ bú trước giờ đi ngủ hoặc ngủ trưa (lâu hơn 30 phút).
- Không sử dụng bình sữa làm núm vú giả, chỉ sử dụng bình sữa để cho trẻ bú.
- Đối với trẻ mới biết đi, các thức uống khác nên được cho vào cốc. Hãy cai sữa cho trẻ từ bú bình sang cốc khi được 12 tháng tuổi.
- Điều trị cho bé bị sâu răng do bú bình như thế nào?
Nguyên nhân gây sâu răng ở bé bú bình ban đêm?
Khi thức uống có chứa đường (chẳng hạn như sữa mẹ và sữa công thức) được bé uống vào giờ ngủ trưa hoặc trước khi đi ngủ, đường sẽ lưu lại trên răng. Vi khuẩn trong miệng biến đường này thành axit. Axit ăn mòn men răng và bắt đầu gây sâu răng. Men răng sữa mỏng hơn men răng vĩnh viễn. Điều này khiến axit phá hủy răng dễ dàng hơn. Ngược lại trong ngày, nước bọt trong miệng giúp rửa sạch một số chất lỏng có đường khỏi răng. Vào thời gian ngủ trưa hoặc ban đêm, dòng chảy của nước bọt chậm lại và bé nuốt ít hơn. Vi khuẩn có nhiều thời gian hơn để hoạt động trên đường để tạo ra axit gây sâu.
Những lưu ý đối với trẻ bú bình?
Không cho con bạn uống sữa hoặc các thức uống có đường khác trước khi đi ngủ.
Tránh cho trẻ bú trước giờ đi ngủ hoặc ngủ trưa (lâu hơn 30 phút).
Không sử dụng bình sữa làm núm vú giả, chỉ sử dụng bình sữa để cho trẻ bú.
Đối với trẻ mới biết đi, các thức uống khác nên được cho vào cốc. Hãy cai sữa cho trẻ từ bú bình sang cốc khi được 12 tháng tuổi.
Điều trị cho bé bị sâu răng do bú bình như thế nào?
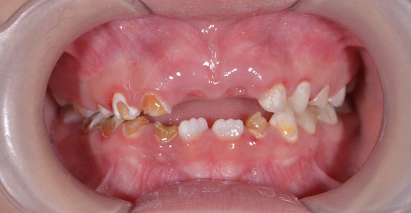
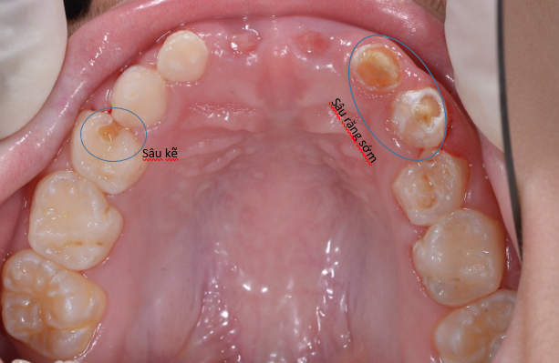
Đây là trường hợp bé 7 tuổi tới khám, bé bị sâu răng do bú bình từ nhỏ nhưng không được điều trị. Sau khi thăm khám bác sĩ đánh gía và đưa ra kế hoạch điều trị cụ thể như sau:

1. Vệ sinh răng miệng chưa sạch: hướng dẫn vệ sinh răng miệng đúng cách và kiểm tra việc chải răng trong những lần hẹn kế tiếp.
2. Sâu răng sớm hai hàm : mất men răng, mất mũi rãnh và hình dáng nên việc nhai thức ăn bị kém. Điều trị: trám và phục hồi với mão kim loại cho trẻ em.
3. Răng cối lớn vĩnh viễn mới mọc: có dấu hiệu mất khoáng- giai đoạn sớm của sâu răng. Cần trám phòng ngừa Sealant

4. Răng cửa hàm dưới mới mọc bị xoay: theo dõi mọc răng, chưa cần can thiệp.
5. Răng sâu kẽ làm cung răng bị mất khoảng, sau này răng vĩnh viễn mọc có thể bị chen chúc: chụp phim kiểm tra, giữ khoảng và tạo khoảng sau khi đánh giá mẫu hàm, phim.

6. Theo dõi hướng phát triển của xương hàm, phát hiện sớm và phòng ngừa những sai lệch khớp cắn trong tương lai.
7. Tái khám theo dõi 6 tháng.
Do vậy, các bậc phụ huynh không nên cho bé bú bình ban đêm và tốt nhất đừng bao giờ cho bé bú bình trên giường để hạn chế sâu răng sớm nhé!
