MỤC LỤC NỘI DUNG
1. Răng hàm 6 tuổi là gì?
Trong giai đoạn 5-6 tuổi trẻ sẽ diễn ra quá trình mọc răng vĩnh viễn. Thường được gọi là răng hàm 6 tuổi hay răng cối lớn đầu tiên. Những răng này là răng mới mọc và không bị thay thế giống những răng sữa khác. Răng hàm 6 tuổi có vai trò rất quan trọng trong sự ăn nhai và ảnh hưởng đến vị trí của những răng vĩnh viễn khác.

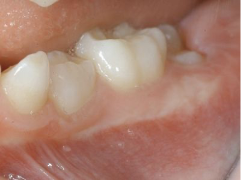
Khi quan sát trong miệng, vị trí răng hàm 6 tuổi nằm ngay phía sau của răng sữa sau cùng. Trong lúc mọc răng, trẻ sẽ có những dấu hiệu như: sốt nhẹ, viêm sưng nướu, đau khi ăn nhai.
2. Quá trình mọc răng hàm 6 tuổi!
Khi răng cối lớn chuẩn bị mọc lên và gần chạm tới nướu răng, trẻ sẽ cảm thấy khó chịu hoặc vùng nướu phía sau cùng bị sưng phồng nhẹ. Tuy nhiên giai đoạn này thường không đau và kéo dài 1 tuần.
Đa số, răng mới mọc không gây những biến chứng nghiêm trọng. Tuy nhiên, vài trường hợp nhiễm trùng có thể xảy ra. Khi thấy vùng nướu có hiện tượng chảy mủ, đau nhức trên 1 tuần kèm theo sốt cao, phụ huynh nên dẫn trẻ đến khám nha sĩ càng sớm càng tốt.
3. Một số dấu hiệu thường gặp khi trẻ mọc răng
. Nướu sưng đỏ, bị tách ra.
. Đau một bên (trẻ thường chỉ tay vào phần răng sau cùng trong góc hàm)
. Sưng mặt (rất ít)
. Có mủ xung quanh vùng nướu răng sau
. Khó ngủ
. Sốt nhẹ
. Đau khi ăn nhai
. Vùng nướu răng sẽ thấy một phần nhú trắng của răng mọc lên

4. Cần làm gì trong trường hợp trên?
. Súc miệng nước muối ấm
. Vệ sinh sạch vùng nướu sưng với bàn chải mềm
. Luôn giữ vùng nướu răng đang mọc luôn sạch sẽ, không để thức ăn . nhét vào, nhai bên đổi diện
. Chế độ dinh dưỡng: ăn thức ăn mềm và nguội như súp, cháo
. Đến khám nha sĩ khi trẻ sốt cao, triệu chứng dài hơn 1 tuần
Giai đoạn 5-6 tuổi là thời điểm bắt đầu mọc răng vĩnh viễn, theo thứ tự từ răng cửa đến răng cối, hàm dưới đến hàm trên. Trong quá trình trên, việc khám răng định kỳ sẽ phát hiện những bất thường và biến chứng sớm có thể xảy ra, đồng thời bác sĩ sẽ theo dõi quá trình mọc răng tốt hơn cho trẻ. Các bậc phụ huynh có thể tham khảo bài viết “5 lợi ích quan trọng của việc khám răng miệng định kỳ“.

Pingback: itemprop="name">Trám bít hố rãnh - Ngăn ngừa sâu răng! Tại sao? (p1)