Viêm nha chu – nguyên nhân chủ yếu gây mất răng!

Bệnh viêm nha chu là nguyên nhân phổ biến gây mất răng dù triệu chứng thường âm thầm, ít gây đau nhức. Vậy bệnh viêm nha chu là gì, bệnh này có nguy hiểm không?. Chúng ta cùng tìm hiểu trong bài viết dưới dây!

Viêm nha chu là gì?

Viêm nha chu được định nghĩa là tình trạng viêm của tổ chức xung quanh răng gồm: nướu răng, dây chằng nha chu, cement chân răng và xương ổ răng. Như vậy, viêm nha chu là bệnh lý nặng và nguy hiểm hơn viêm nướu.

Nguyên nhân nào gây bệnh viêm nha chu?

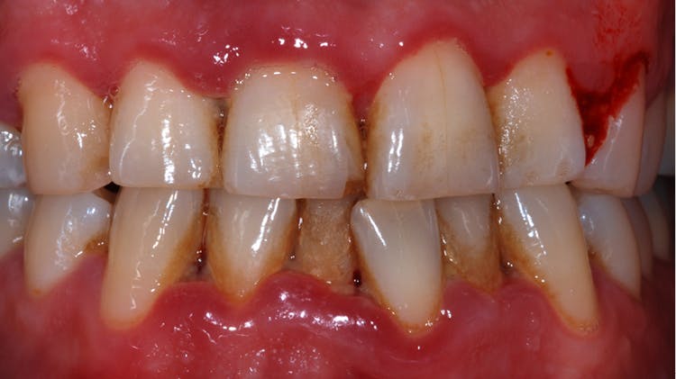
Mảng bám vi khuẩn là nguyên nhân chính gây ra bệnh viêm nha chu cũng như viêm nướu. Tuy nhiên, trong bệnh viêm nha chu vi khuẩn sinh độc tố mạnh hơn so với viêm nướu. Một số yếu tố nguy cơ gây ra bệnh nha chu như: hút thuốc lá, tiểu đường, suy giảm miễn dịch, thiếu dinh dưỡng, răng chen chúc gây khó khăn trong việc loại bỏ mảng bám….

VÔI RĂNG, MẢNG BÁM VI KHUẨN LÀ NGUYÊN NHÂN CHÍNH GÂY BỆNH NHA CHU

Triệu chứng của bệnh viêm nha chu là gì?

Các triệu chứng trong giai đoạn đầu của bệnh viêm nha chu thường không dễ nhận thấy, thường ít gây đau nhức đến khi tình trạng bệnh nặng hơn. Các triệu chứng điển hình hay gặp như:

Nướu sưng, mềm, dễ chảy máu: dễ dạng nhận thấy khi bệnh viêm nha chu ở giai đoạn sớm.

Răng lung lay: răng lung lay là triệu chứng thường hay gặp khi bệnh đang tiến triển. Cũng là triệu chứng khiến chúng ta tới gặp bác sĩ.

Tụt nướu: thường kết hợp với tình trang răng lung lay, nướu không còn bám chắc vào bề mặt chân răng. Chúng ta có cảm giác răng bị dài ra.

Hơi thở hôi: nguyên nhân chính gây ra hôi miệng là do vi khuẩn trong mảng bám. Một số loại vi khuẩn sinh ra các loại khí gây mùi hôi. Hôi miệng cũng là một triệu chứng khá thường gặp trong bệnh viêm nha chu.

Đau khi ăn nhai: một khi răng lung lay, sức nhai của bộ răng sẽ giảm. Điều này đồng nghĩa với việc khi ăn đồ ăn dai, cứng sẽ có cảm giác khó chịu hay đau nhẹ. Đến khi răng lung lay nhiều, khi đó triệu chứng đau sẽ rõ hơn.

HÌNH ẢNH TIÊU XƯƠNG Ổ RĂNG TRÊN PHIM X QUANG DO BỆNH NHA CHU

Chẩn đoán bệnh viêm nha chu như thế nào?

Bác sĩ sẽ thăm khám kiểm tra toàn bộ tình trạng răng miệng, kết hợp với thăm dò túi nha chu. Túi nha chu được hình thành do nướu không còn bám chặt vào bề mặt chân răng. Khi khám bằng cây đo túi sẽ cho chỉ số bất thường. Và hầu hết các trường hợp đều được chỉ định chụp phim toàn cảnh hoặc quanh chóp răng để đánh giá tình trạng tiêu xương ổ răng.

TÚI NHA CHU HÌNH THÀNH TRONG BỆNH NHA CHU

Biến chứng của bệnh viêm nha chu?

Bệnh viêm nha chu nếu không được phát hiện và điều trị kịp thời có thể gây nên mất răng kèm với mất xương ổ răng. Trong những trường hợp phục hồi răng bị mất do bệnh nha chu sẽ phức tạp hơn do xương ổ răng bị tiêu. Một số biến chứng khác gồm có: áp xe nướu, tăng nguy cơ mắc bệnh tim mạch, tiểu đường…

Điều trị bệnh viêm nha chu như thế nào?

Điều trị bệnh viêm nha chu phụ thuộc vào giai đoạn bệnh lý của bệnh. Trong giai đoạn sớm, điều trị bao gồm: vệ sinh răng (loại bỏ vôi răng, mảng bám) bởi bác sĩ, nạo túi nha chu nếu có. Với giai đoạn muộn hơn khi đã hình thành túi nha chu sâu, điều trị thêm vào đó là tiểu phẫu lật nướu để loại bỏ toàn bộ mảng bám bám ở mặt chân răng. Đối với những răng đã lung lay nhiều, không còn khả năng thực hiện được chức năng ăn nhai thường được chỉ định nhổ. Một khi bệnh nha chu đã được điều trị ổn định, những răng mất sẽ được phục hồi lại bằng nhiều cách thức khác nhau.

Do vậy, thăm khám nha khoa định kỳ mỗi 6 tháng là yếu tố quan trọng trong việc phát hiện và điều trị sớm, tránh trường hợp đáng tiếc phải nhổ răng. Đặc biệt đối với bệnh viêm nha chu nên tái khám mỗi 3 tháng để đánh giá tình trạng răng cũng như hiệu quả vệ sinh răng miệng của bệnh nhân.

Nha khoa Trinh Tâm hy vọng thông qua bài viết trên, chúng ta sẽ hiểu rõ hơn bệnh cảnh viêm nha chu. Từ đó, chúng ta hiểu được tầm quan trọng của việc khám răng miệng định kỳ cũng như vệ sinh răng miệng đúng cách.

Nếu có bất cứ thắc mắc, hãy liên hệ với nha khoa hoặc comment dưới bài viết để được giải đáp. Xin chân thành cảm ơn quý độc giả đã dành thời gian để tham khảo bài viết của nha khoa Trinh Tâm.

Trả lời