Tẩy Trắng Răng Chuyên Nghiệp Tại Trinh Tâm

Tẩy trắng răng chuyên nghiệp tại Nha Khoa Trinh Tâm sử dụng công nghệ ánh sáng hiện đại giúp đánh bay vết ố vàng, mang lại hàm răng trắng sáng tự nhiên, an toàn tuyệt đối và không gây ê buốt.

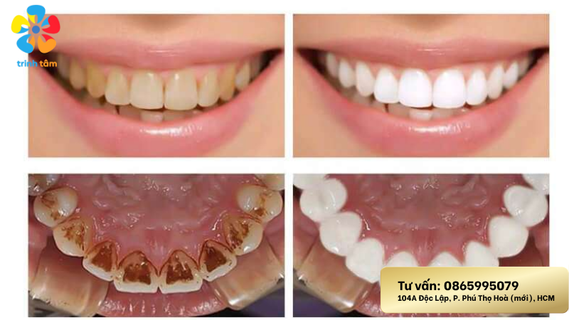
Tẩy trắng răng chuyên nghiệp
Tẩy trắng răng chuyên nghiệp giúp răng trắng sáng tại Nha Khoa Trinh Tâm.

MỤC LỤC NỘI DUNG

Tại sao nên chọn dịch vụ tẩy trắng răng chuyên nghiệp?

Thay vì sử dụng các mẹo dân gian hay máng tẩy tại nhà không rõ nguồn gốc, việc tìm đến các cơ sở uy tín sẽ đảm bảo sức khỏe răng miệng tốt nhất cho bạn.

Hiệu quả vượt trội so với các phương pháp thông thường

Tẩy trắng răng chuyên nghiệp sử dụng thuốc tẩy trắng nồng độ chuẩn kết hợp với công nghệ ánh sáng tiên tiến. Điều này giúp các phân tử làm trắng thẩm thấu sâu vào men răng, phá vỡ liên kết sắc tố mà không gây hại đến cấu trúc răng.

Đảm bảo an toàn và không gây ê buốt

Tại các phòng khám uy tín, quy trình luôn được kiểm soát chặt chẽ bởi bác sĩ. Nướu và môi của bạn sẽ được bảo vệ kỹ lưỡng, hạn chế tối đa cảm giác ê buốt hay kích ứng mô mềm.

Công nghệ tẩy trắng răng hiện đại tại Nha Khoa Trinh Tâm

Nha Khoa Trinh Tâm tự hào sở hữu hệ thống trang thiết bị hiện đại, mang đến trải nghiệm làm đẹp răng miệng nhẹ nhàng và hiệu quả nhất.

tẩy trắng răng
Nha Khoa Trinh Tâm thực hiện quy trình tẩy trắng răng an toàn

Quy trình thực hiện chuẩn y khoa: 5 bước kiến tạo nụ cười hoàn mỹ

Tẩy trắng răng chuyên nghiệp tại Nha Khoa Trinh Tâm không chỉ là một thủ thuật thẩm mỹ, mà là một hành trình chăm sóc chuyên sâu được thiết kế khép kín, đảm bảo sự thoải mái tối đa cho mọi khách hàng. Chúng tôi áp dụng tiêu chuẩn an toàn nghiêm ngặt thông qua 5 bước chuyển mình cho nụ cười:

Bước 1: Khám thực tế và phân tích sắc độ răng

Bác sĩ chuyên khoa sẽ trực tiếp thăm khám tình trạng sức khỏe răng miệng, đo mức độ xỉn màu bằng bảng màu chuẩn quốc tế để tư vấn lộ trình trắng sáng phù hợp nhất với men răng của bạn.

Bước 2: Vệ sinh chuyên sâu và dọn dẹp mảng bám

Trước khi bắt đầu, răng sẽ được làm sạch kỹ lưỡng và lấy cao răng nhẹ nhàng. Bước này giúp bề mặt răng thông thoáng, tạo điều kiện cho thuốc tẩy trắng thẩm thấu đều và đạt hiệu quả tối ưu.

Bước 3: Bảo vệ nướu và chuẩn bị lớp áo làm trắng

Đây là bước quan trọng trong quy trình tẩy trắng răng chuyên nghiệp. Bác sĩ sử dụng gel cách ly bảo vệ nướu và môi, sau đó khéo léo phủ một lớp thuốc tẩy trắng cao cấp lên bề mặt răng, đảm bảo không gây kích ứng cho các mô mềm xung quanh.

Bước 4: Kích hoạt ánh sáng sinh học Đánh thức vẻ trắng sáng

Sử dụng công nghệ ánh sáng cường độ tiêu chuẩn để tác động trực tiếp vào các phân tử thuốc. Quá trình này giúp bẻ gãy các liên kết sắc tố cứng đầu bên trong men răng, mang lại vẻ trắng sáng tự nhiên mà không hề gây cảm giác ê buốt.

Bước 5: Hoàn thiện nụ cười và bàn giao bí quyết chăm sóc

Sau khi đạt được độ sáng như ý, bác sĩ sẽ vệ sinh sạch lớp thuốc, đánh giá kết quả cuối cùng và hướng dẫn bạn chi tiết cách giữ gìn màu răng bền lâu tại nhà để nụ cười luôn tỏa nắng.

Những lưu ý sau khi tẩy trắng răng để bền màu nhất

Để giữ cho nụ cười luôn rạng rỡ, việc chăm sóc sau khi thực hiện dịch vụ là cực kỳ quan trọng.

Chế độ ăn uống trắng.

rong 48 giờ đầu tiên, bạn nên ưu tiên các thực phẩm không màu như cơm, sữa, cá, thịt gà… và hạn chế tối đa cà phê, trà hay các loại nước sốt đậm màu.

Vệ sinh răng miệng đúng cách.

Đánh răng ít nhất 2 lần mỗi ngày và sử dụng chỉ nha khoa để loại bỏ mảng bám, ngăn chặn các tác nhân gây ố vàng quay trở lại.

Những ai nên thực hiện tẩy trắng răng chuyên nghiệp?

Tẩy trắng răng chuyên nghiệp tại Nha Khoa Trinh Tâm phù hợp với hầu hết mọi đối tượng mong muốn cải thiện thẩm mỹ nụ cười, đặc biệt là các trường hợp sau:

Răng bị xỉn màu do thực phẩm và lối sống

Những người thường xuyên sử dụng trà, cà phê, rượu vang đỏ hoặc hút thuốc lá lâu năm khiến men răng bị bám màu đại trà, không thể làm sạch bằng cách đánh răng thông thường.

Răng ố vàng tự nhiên do tuổi tác

Theo thời gian, lớp men răng mòn đi để lộ lớp ngà răng màu vàng bên trong. Công nghệ tại Nha Khoa Trinh Tâm giúp làm sáng lớp ngà này một cách hiệu quả.

Người muốn chuẩn bị cho các sự kiện quan trọng

Nếu bạn sắp có buổi phỏng vấn, tiệc cưới hay sự kiện đặc biệt, một liệu trình tẩy trắng răng chuyên nghiệp cấp tốc sẽ là lựa chọn hoàn hảo để tăng thêm sự tự tin.

Chi phí tẩy trắng răng tại Nha Khoa Trinh Tâm là bao nhiêu?

Nha Khoa Trinh Tâm cam kết mang đến chất lượng dịch vụ cao cấp với mức giá minh bạch, phù hợp với túi tiền của đa số khách hàng.

Bảng giá dịch vụ niêm yết rõ ràng

Chúng tôi cung cấp nhiều gói dịch vụ từ tẩy trắng tại phòng khám đến bộ kít tẩy trắng tại nhà để bạn dễ dàng lựa chọn tùy theo nhu cầu và ngân sách.

Gói tẩy trắng răng tại phòng khám (In-Office)

Sử dụng công nghệ đèn hiện đại, mang lại kết quả ngay lập tức chỉ sau 1 giờ.

Gói combo kết hợp tại phòng và tại nhà

Đây là giải pháp tối ưu giúp răng đạt độ trắng sứ cao nhất và giữ màu bền vững lên đến 3-5 năm.

Chương trình ưu đãi và hậu mãi hấp dẫn

Thường xuyên có các chương trình giảm giá cho sinh viên, nhóm bạn hoặc quà tặng lấy cao răng miễn phí đi kèm khi sử dụng dịch vụ làm trắng.

Giải đáp thắc mắc thường gặp về tẩy trắng răng chuyên nghiệp

Để quý khách hàng yên tâm hơn trước khi thực hiện, các chuyên gia tại Nha Khoa Trinh Tâm xin trả lời các câu hỏi phổ biến nhất:

Tẩy trắng răng có làm mòn men răng không?

Câu trả lời là KHÔNG. Khi thực hiện đúng kỹ thuật và sử dụng thuốc chính hãng, phản ứng oxy hóa chỉ tác động vào chuỗi phân tử màu, hoàn toàn không làm thay đổi cấu trúc men răng hay gây mòn răng.

Hiệu quả trắng sáng duy trì được bao lâu?

Thông thường, kết quả sẽ kéo dài từ 2 đến 3 năm. Tuy nhiên, nếu bạn có chế độ chăm sóc tốt và thực hiện tẩy trắng dặm định kỳ, độ sáng có thể duy trì lâu hơn rất nhiều.

Phụ nữ mang thai có nên tẩy trắng răng không?

Mặc dù chưa có bằng chứng gây hại, nhưng bác sĩ tại Nha Khoa Trinh Tâm khuyên phụ nữ mang thai hoặc đang cho con bú nên lùi lại thời gian thực hiện để đảm bảo sức khỏe tốt nhất cho cả mẹ và bé.

Khơi dậy sự tự tin từ nụ cười trắng sáng tại Nha Khoa Trinh Tâm

Tẩy trắng răng chuyên nghiệp không chỉ đơn thuần là một dịch vụ làm đẹp, mà là cách bạn yêu thương bản thân và mở ra những cơ hội mới trong giao tiếp cũng như sự nghiệp. Một nụ cười rạng rỡ, hàm răng trắng sứ tự nhiên chính là món trang sức lộng lẫy nhất giúp bạn tỏa sáng trong mọi khung hình và mọi cuộc đối thoại.

Tại Nha Khoa Trinh Tâm, chúng tôi hiểu rằng mỗi khách hàng đều xứng đáng sở hữu một diện mạo hoàn hảo nhất. Với sự kết hợp giữa công nghệ ánh sáng hiện đại, quy trình chuẩn y khoa và cái tâm của người thầy thuốc, chúng tôi cam kết mang đến cho bạn trải nghiệm làm đẹp an toàn, nhẹ nhàng và hiệu quả bền lâu.

Đừng để những vết ố vàng làm mờ đi sự tự tin vốn có của bạn. Hãy để Nha Khoa Trinh Tâm đồng hành cùng bạn trên hành trình kiến tạo nụ cười mới – trắng sáng hơn, hạnh phúc hơn.

——————————-

Địa chỉ: 104A Độc Lập, Phường Phú Thọ Hoà, TP. HCM

Hotline: 0865 995 079

Website: nhakhoatrinhtam.com

Trả lời