Tẩy răng thẩm mỹ là biện pháp an toàn cho sức khỏe răng miệng, không làm hại tới men răng, không làm thay đổi cấu trúc của răng nếu được thực hiện đúng cách. Để đảm bảo đạt kết quả tối ưu, bạn nên lựa chọn nha khoa dùng thuốc tẩy trắng chính hãng, có hệ thống đèn tẩy trắng hiện đại.
MỤC LỤC NỘI DUNG
- Tẩy răng thẩm mỹ là gì?
- Có nên tẩy răng thẩm mỹ? Tẩyrăng có tốt không?
- Khi nào nên và không nên tẩy răng?
- Lợi ích của tẩy răng thẩm mỹ tại Nha Khoa Trinh Tâm
- Quy trình tẩy trắng răng an toàn tại Nha Khoa Trinh Tâm
- Vì sao nên chọn Nha Khoa Trinh Tâm để tẩy trắng răng thẩm mỹ?
- Đặt lịch tẩy trắng răng thẩm mỹ ngay hôm nay tại Nha Khoa Trinh Tâm!
Tẩy răng thẩm mỹ là gì?
Tẩy răng thẩm mỹ là phương pháp làm sáng men răng bằng công nghệ nha khoa hiện đại, giúp loại bỏ vết ố vàng, xỉn màu do cà phê, trà, thuốc lá hoặc quá trình lão hóa.
Tại Nha Khoa Trinh Tâm, dịch vụ tẩy trắng răng được thực hiện bằng thiết bị chiếu sáng Laser Whitening và Plasma, mang lại hiệu quả nhanh, an toàn và không ê buốt.
Chỉ với một liệu trình 45–60 phút, bạn sẽ cảm nhận ngay nụ cười trắng sáng, tự nhiên và đầy tự tin.

Có nên tẩy răng thẩm mỹ? Tẩyrăng có tốt không?
Nên cân nhắc tẩy trắng răng nếu bạn không hài lòng với màu răng của mình và cảm thấy nó ảnh hưởng đến sự tự tin của bản thân. Có nên tẩy trắng răng hay không là phụ thuộc vào nhu cầu cá nhân.
Tẩy trắng răng cải thiện tình trạng răng mất màu, sẫm màu do tuổi tác, thực phẩm, thói quen vệ sinh răng miệng,… mang lại lợi ích về mặt thẩm mỹ, giúp người thực hiện tự tin hơn trong giao tiếp, đời sống.
Tẩy răng thẩm mỹ được xem như phương pháp an toàn, không làm hại men răng hay cấu trúc răng. Đây không phải phương pháp xâm lấn như bọc răng sứ hay trồng răng nên gần như không gây biến chứng. Răng thường ê buốt một vài ngày sau khi tẩy trắng, đây là hiện tượng bình thường, không đáng lo ngại.
Tuy nhiên, để đảm bảo an toàn, quy trình tẩy trắng nên được thực hiện hoặc tư vấn bởi nha sĩ, bác sĩ có chuyên môn. Nồng độ và thời gian tác dụng thuốc cần phải được tinh chỉnh để phù hợp với tình trạng sức khỏe răng miệng của mỗi người. Thế nên, mọi người không nên tự ý dùng các sản phẩm tẩy trắng không rõ nguồn gốc tại nhà.
Khi nào nên và không nên tẩy răng?
Khi nào nên tẩy răng?
Bạn nên thực hiện tẩy răng thẩm mỹ tại Nha Khoa Trinh Tâm nếu:
- Răng bị ố vàng, xỉn màu do thực phẩm hoặc thuốc lá.
- Men răng ngả màu do tuổi tác hoặc thuốc kháng sinh.
- Sắp chụp ảnh, cưới hỏi, phỏng vấn, gặp đối tác và muốn cải thiện ngoại hình.
- Mong muốn nâng cao tính thẩm mỹ và sự tự tin khi giao tiếp.
Ai không nên tẩy răng?
Những đối tượng không nên tẩy trắng răng gồm:
- Người dưới 16 tuổi, vì thuốc dễ gây kích thích tủy, khiến răng nhạy cảm hơn.
- Người có men răng yếu hoặc đang mắc các bệnh răng miệng như sâu răng, hở cổ chân răng, viêm nướu, tụt nướu, răng nhạy cảm,…
- Người dị ứng với thành phần trong thuốc tẩy trắng răng.
- Người đã thực hiện dán veneer, bọc răng sứ hay trồng răng implant.
- Phụ nữ cũng được khuyên không nên tẩy trắng răng khi đang mang thai hoặc cho con bú.
Lợi ích của tẩy răng thẩm mỹ tại Nha Khoa Trinh Tâm
Một nụ cười trắng sáng không chỉ là điểm nhấn cho gương mặt mà còn là “vũ khí” giúp bạn tự tin trong mọi khoảnh khắc. Tại Nha Khoa Trinh Tâm, dịch vụ tẩy trắng răng thẩm mỹ không chỉ mang đến hàm răng sáng bật tông mà còn đảm bảo an toàn, nhẹ dịu và duy trì hiệu quả lâu dài – nhờ công nghệ hiện đại kết hợp tay nghề chuyên sâu của đội ngũ bác sĩ.
Răng trắng bật tông chỉ sau 1 buổi
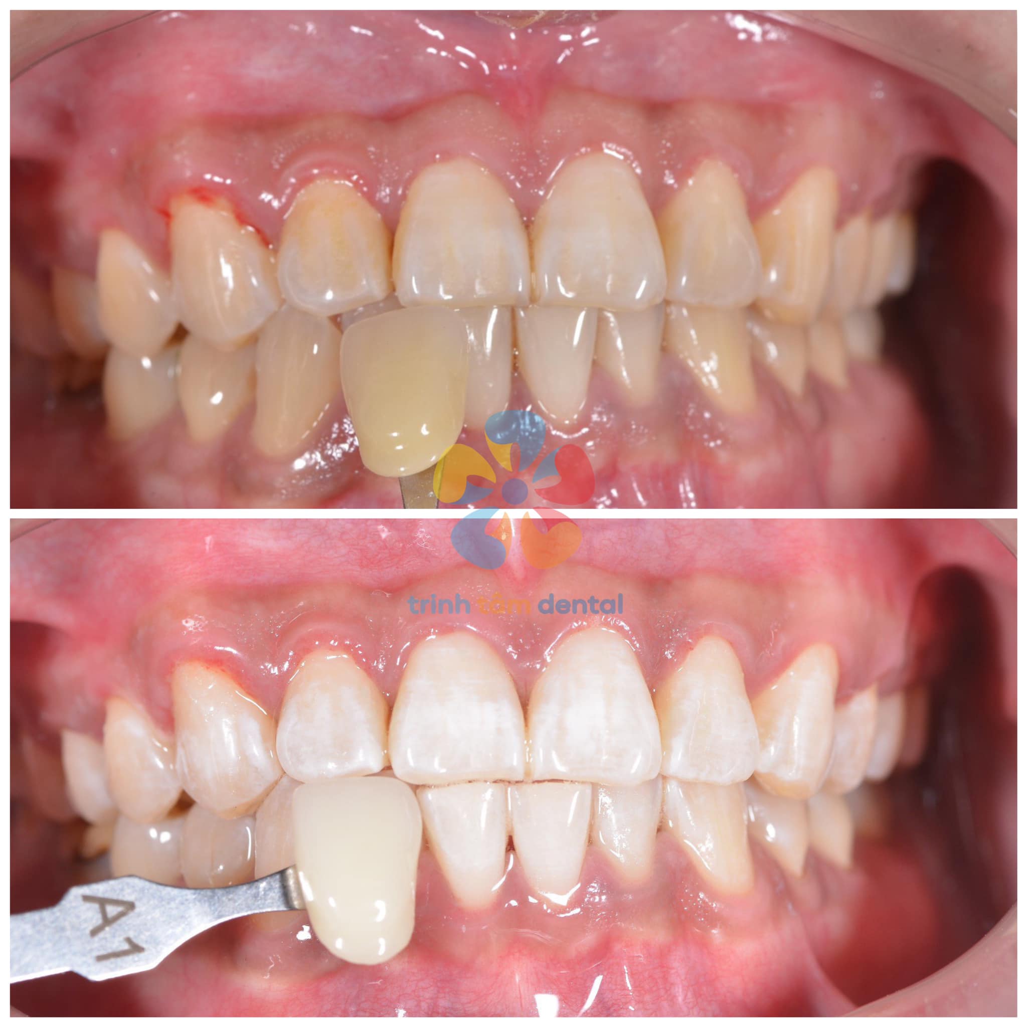
Với công nghệ Laser Whitening tiên tiến, ánh sáng laser được kiểm soát ở bước sóng an toàn giúp hoạt hóa nhanh hoạt chất làm trắng, đánh bật mảng ố vàng, xỉn màu chỉ sau 1 liệu trình duy nhất. Sau buổi thực hiện, răng của bạn có thể sáng hơn 2–3 tông rõ rệt, mang lại cảm giác “trắng sáng tự nhiên” chứ không phải trắng giả.
An toàn tuyệt đối cho men răng
Dung dịch tẩy trắng được Nha Khoa Trinh Tâm sử dụng đạt chuẩn y khoa quốc tế, thân thiện với men răng và nướu. Thành phần chứa ion khoáng giúp tăng cường tái khoáng hóa men răng, hạn chế tối đa tình trạng ê buốt, đồng thời bảo vệ nướu khỏe mạnh trong suốt quá trình tẩy trắng.
Không đau – Không ê buốt
Trải nghiệm tẩy trắng răng tại Nha Khoa Trinh Tâm là hành trình thư giãn nhẹ nhàng, hoàn toàn không còn nỗi lo ê buốt. Nhờ công nghệ làm lạnh kép và thiết bị chiếu sáng thế hệ mới, quá trình làm trắng được kiểm soát nhiệt độ tối ưu, giúp giảm cảm giác nóng rát và mang lại sự thoải mái tuyệt đối cho khách hàng.
Hiệu quả duy trì dài lâu
Không chỉ làm trắng nhanh, quy trình tại Nha Khoa Trinh Tâm còn được thiết kế để duy trì hiệu quả từ 12–24 tháng. Sau khi hoàn tất liệu trình, khách hàng sẽ được bác sĩ hướng dẫn chi tiết cách chăm sóc và bảo vệ men răng tại nhà, giúp màu răng luôn sáng đẹp và tự nhiên theo thời gian.
Tăng sự tự tin và tính thẩm mỹ vượt trội
Một hàm răng trắng sáng là “chiếc chìa khóa” mở ra nụ cười rạng ngời. Sau khi tẩy trắng, bạn sẽ cảm nhận rõ sự thay đổi: khuôn mặt tươi tắn hơn, nụ cười cuốn hút hơn và tự tin hơn khi giao tiếp. Với dịch vụ tẩy trắng răng thẩm mỹ tại Nha Khoa Trinh Tâm, mỗi nụ cười đều trở thành điểm nhấn hoàn hảo cho phong thái của bạn.
Quy trình tẩy trắng răng an toàn tại Nha Khoa Trinh Tâm
Tại Nha Khoa Trinh Tâm, quy trình tẩy trắng răng thẩm mỹ được thực hiện theo chuẩn y khoa nghiêm ngặt, đảm bảo an toàn tuyệt đối cho răng và nướu. Mỗi bước đều được kiểm soát chặt chẽ bởi đội ngũ bác sĩ giàu kinh nghiệm, giúp mang lại kết quả trắng sáng tự nhiên, đều màu và bền lâu.

Bước 1 – Thăm khám và kiểm tra tình trạng răng miệng
Trước khi bắt đầu, bác sĩ sẽ tiến hành thăm khám tổng quát, đánh giá mức độ xỉn màu của răng, tình trạng men răng, nướu và răng nhạy cảm. Việc này giúp xác định phác đồ tẩy trắng phù hợp, đảm bảo hiệu quả tối ưu và không gây tổn hại men răng.
Bước 2 – Vệ sinh răng miệng và cách ly nướu
Răng được làm sạch mảng bám và cao răng nhẹ để hoạt chất tẩy trắng phát huy tác dụng tốt nhất. Sau đó, bác sĩ tiến hành cách ly nướu và môi bằng lớp gel bảo vệ, giúp ngăn ngừa kích ứng trong suốt quá trình tẩy trắng.
Bước 3 – Thoa dung dịch tẩy trắng đạt chuẩn y khoa
Dung dịch tẩy trắng răng an toàn được thoa đều lên bề mặt răng, chứa thành phần Hydrogen Peroxide tinh khiết với nồng độ được kiểm soát chặt chẽ. Đây là bước quan trọng giúp loại bỏ các phân tử gây xỉn màu sâu trong men răng, mang lại hiệu quả trắng sáng rõ rệt mà vẫn giữ nguyên cấu trúc răng tự nhiên.
Bước 4 – Kích hoạt bằng công nghệ Laser Whitening hiện đại
Ánh sáng Laser Whitening thế hệ mới được chiếu lên răng trong thời gian 15–20 phút, kích hoạt nhanh hoạt chất tẩy trắng. Công nghệ này giúp rút ngắn thời gian điều trị, tăng hiệu quả trắng sáng gấp 3 lần so với phương pháp truyền thống, đồng thời giảm thiểu cảm giác ê buốt nhờ cơ chế làm lạnh tự động.
Bước 5 – Chăm sóc sau tẩy trắng và hướng dẫn duy trì tại nhà
Sau khi hoàn tất, bác sĩ sẽ tiến hành trung hòa dung dịch và kiểm tra lại độ trắng của răng. Khách hàng được hướng dẫn chi tiết chế độ ăn uống, vệ sinh và chăm sóc răng miệng để duy trì màu răng sáng đẹp từ 12–24 tháng.
Ngoài ra, Nha Khoa Trinh Tâm còn cung cấp bộ kit làm trắng tại nhà để khách hàng có thể duy trì kết quả lâu dài và tiết kiệm chi phí.
Vì sao nên chọn Nha Khoa Trinh Tâm để tẩy trắng răng thẩm mỹ?
Giữa hàng trăm cơ sở nha khoa tại TP.HCM, Nha Khoa Trinh Tâm vẫn luôn là địa chỉ được khách hàng tin tưởng khi muốn tìm lại nụ cười rạng rỡ và tự nhiên nhất. Không chỉ vì hiệu quả làm trắng vượt trội, mà còn bởi sự an toàn, tận tâm và chuyên nghiệp trong từng chi tiết nhỏ.
Công nghệ Laser Whitening hiện đại – An toàn tuyệt đối
Nha Khoa Trinh Tâm tiên phong ứng dụng công nghệ Laser Whitening thế hệ mới, được nhập khẩu trực tiếp từ Châu Âu. Hệ thống này giúp làm trắng răng nhanh chóng, không gây ê buốt, và đảm bảo an toàn tuyệt đối cho men răng. Đây chính là yếu tố khiến hàng nghìn khách hàng lựa chọn và hài lòng sau mỗi liệu trình.
Đội ngũ bác sĩ giàu kinh nghiệm, được đào tạo chuyên sâu
Mỗi khách hàng đều được bác sĩ chuyên khoa thẩm mỹ răng – hàm – mặt trực tiếp thực hiện. Với kinh nghiệm lâm sàng vững vàng và tay nghề khéo léo, bác sĩ tại Nha Khoa Trinh Tâm luôn đưa ra phác đồ tẩy trắng phù hợp từng tình trạng răng, giúp đạt hiệu quả trắng sáng mà không ảnh hưởng đến sức khỏe răng miệng.
Quy trình y khoa chuẩn quốc tế – Không ê buốt, không kích ứng
Mọi quy trình tẩy trắng tại phòng khám đều được thực hiện trong môi trường vô trùng tuyệt đối, theo tiêu chuẩn kiểm soát chất lượng. Cùng với dung dịch tẩy trắng đạt chuẩn FDA khách hàng có thể trải nghiệm dịch vụ nhẹ nhàng, thoải mái và không hề đau rát.
Cam kết hiệu quả – Hỗ trợ bảo hành màu răng
Sau khi hoàn thành liệu trình, Nha Khoa Trinh Tâm cam kết bảo hành màu răng trắng sáng, hướng dẫn tận tình cách chăm sóc tại nhà để duy trì hiệu quả từ 12–24 tháng. Đây là sự khác biệt thể hiện trách nhiệm và uy tín mà phòng khám luôn đặt lên hàng đầu.
Đặt lịch tẩy trắng răng thẩm mỹ ngay hôm nay tại Nha Khoa Trinh Tâm!
Một nụ cười trắng sáng không chỉ giúp bạn tự tin hơn mà còn là “ngôn ngữ” của sự thành công và thiện cảm.
Hãy để Nha Khoa Trinh Tâm đồng hành cùng bạn trong hành trình nâng tầm nụ cười – an toàn, hiệu quả, và khác biệt.
Liên hệ ngay hôm nay để được bác sĩ tư vấn miễn phí và nhận ưu đãi tẩy trắng răng thẩm mỹ hấp dẫn trong tháng này!
——————————-
Nha khoa Trinh Tâm – Tận tâm chăm sóc!
Vui lòng liên hệ: 0865995079 để được tư vấn trực tiếp
Địa chỉ: 104A Độc Lập, P. Phú Thọ Hoà (mới), TP. HCM
Thời gian làm việc: 8h-11h30, 13h30-18h30 từ T2-T7
Website: nhakhoatrinhtam.com
