Bọc răng sứ khi bị tụt lợi được không?| Bọc sứ Tân Phú

Bọc răng sứ khi bị tụt lợi được không?| Bọc sứ Tân Phú

Bọc răng sứ là giải pháp thẩm mỹ – phục hình được nhiều người lựa chọn khi muốn sở hữu hàm răng trắng đẹp và chắc khỏe hơn. Tuy nhiên, không phải lúc nào răng cũng trong tình trạng lý tưởng để bọc sứ, đặc biệt là khi nướu bắt đầu tụt, làm lộ chân răng và gây ê buốt.

Chính vì vậy, câu hỏi “răng bị tụt lợi có bọc răng sứ được không?” trở thành mối quan tâm lớn của nhiều khách hàng đến với Nha Khoa Trinh Tâm – Nha khoa giá rẻ Tân Phú. Việc hiểu rõ tình trạng tụt lợi và đánh giá đúng mức độ là bước quan trọng để xác định liệu bọc sứ có phải là lựa chọn an toàn và phù hợp hay không.

Răng bị tụt lợi là gì?

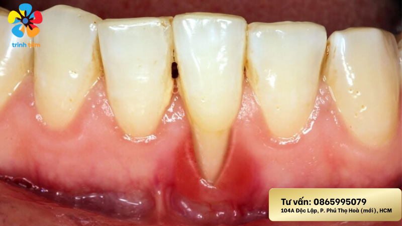
Tụt lợi là tình trạng chân răng bị lộ ra khỏi nướu. Phần lợi bị tiêu hoặc tụt dần để lộ ra khoảng chân răng dài. Khi gặp phải tình trạng này bệnh nhân thường có cảm giác ê buốt kéo dài khi ăn hoặc tiếp xúc với đồ nóng lạnh. Dễ mắc thức ăn và khó vệ sinh răng miệng gây ra những bệnh lý về răng miệng có liên quan như sâu răng, viêm nướu hoặc viêm tuỷ.

răng tụt lợi
Răng bị tụt lợi

Nguyên nhân gây tụt lợi là gì

Tụt lợi thường xảy ra nếu như có những nguyên nhân phổ biến sau đây:

+ Do yếu tố di truyền: Nếu như trong gia đình bạn có ông bà hoặc bố mẹ bạn mắc chứng tụt lợi thì rất có thể bạn cũng mắc phải triệu chứng này do yếu tố di truyền.

+ Do vệ sinh răng hoặc chải răng sai cách: Vệ sinh răng sai cách sẽ khiến cho vùng lợi xung quanh răng bị tổn thương và tiêu dần đi gây ra tụt lợi. Bên cạnh đó vệ sinh răng sai cách cũng sẽ làm cho vùng cổ răng bị mòn và gây ra cảm giác ê buốt. Cách để vệ sinh răng đúng cách đó là chải răng theo chiều lên xuống và xoay tròn, tránh chải răng theo chiều ngang.

+ Do vôi răng: Vôi răng chính là tác nhân gây ra tình trạng tụt lợi, không chỉ thế vôi răng tích tụ lâu ngày còn dẫn đến tình trạng viêm nha chu, viêm nướu và gây hôi miệng.

+ Do răng mọc xô lệch, không đúng vị trí: Điều này làm cho vùng lợi chịu tác động mạnh và tiêu đi nhanh chóng sau một khoảng thời gian.

Những nguyên nhân gây ra tụt lợi có thể kể đến rất nhiều. Bạn cần xác định chính xác nguyên nhân tụt lợi của mình và tìm đến cơ sở Nha Khoa uy tín để có thể tìm ra phương án giải quyết nhanh chóng và hợp lý nhất.

Tụt lợi có bọc răng sứ được không?

Tụt lợi hoàn toàn có thể lựa chọn bọc răng sứ  để có thể giải quyết tình trạng này. Tuy nhiên sẽ tuỳ vào mức độ và nhu cầu cá nhân mà các Bác Sĩ sẽ đưa ra những phương án giải quyết phù hợp nhất.

bọc răng sứ tụt lợi
Bọc răng sứ cho răng bị tụt lợi

Đối với trường hợp đang gặp phải tình trạng tụt lợi ở mức độ nhẹ. Các Bác Sĩ sẽ tiến hành vệ sinh răng và cạo vôi răng sạch sẽ, sau có có thể tiến hành trám lại chân răng bị hở bằng phương pháp trám composite thẩm mỹ hoặc cũng có thể bọc răng sứ.

Đối với trường hợp tụt lợi ở mức độ nặng hơn, Bác Sĩ sẽ tiến hành điều trị tụt lợi bằng cách điều trị nha chu, nạo bỏ nang viêm hoặc ghép mô lợi, Sau khi đã giải quyết triệt để tình trạng tụt lợi Bác Sĩ sẽ tiến hành bọc răng sứ cho bệnh nhân.

 Việc giải quyết triệt để tình trạng tụt lợi trước khi làm răng sứ hoặc bất kỳ phương án nào khác sẽ là vô cùng cần thiết. Vì nếu tình trạng tụt lợi không được giải quyết sẽ ảnh hưởng rất nhiều đến chất lượng và độ bền của răng sứ.

Những lưu ý khi bọc răng sứ cho người bị tụt lợi

Để răng sứ sau khi bọc đạt được hiệu quả cao nhất, bạn nên tham khảo một số lưu ý sau:

+ Cần điều trị dứt điểm tình trạng tụt lợi trước khi làm cầu răng sứ.

+ Lựa chọn cơ sở nha khoa uy tín, chất lượng cùng Bác Sĩ chuyên môn và tay nghề cao: Đây là lưu ý quan trọng nhất giúp đảm bảo chất lượng tốt nhất cho cầu răng sứ của bạn.

+ Tránh lạm dụng làm cầu răng sứ khi chưa có sự chỉ định hoặc thăm khám từ Bác Sĩ chuyên khoa.

+ Lựa chọn dòng sứ cho chất lượng tốt, chính hãng và được bảo hành, tránh sử dụng những dòng sứ rẻ, kém chất lượng kém sẽ để lại những hậu quả như viêm nướu, bể mẻ trong quá trình ăn nhai.

bọc răng sứ
Bọc răng sứ giá rẻ chất lượng Tân Phú

+ Tuân thủ những chỉ định của Bác Sĩ. Chú ý đến chăm sóc răng miệng trước và sau khi làm răng sứ. Hạn chế ăn nhai thức ăn quá dai, quá cứng.

+ Kiểm tra răng miệng định kỳ ít nhất là 6 tháng 1 lần để vệ sinh răng và kiểm tra, phát hiện sớm những vấn đề về răng miệng.

Quy trình bọc răng sứ cho răng tụt lợi tại Nha Khoa Trinh Tâm

Dưới đây là chi tiết quy trình làm cầu răng sứ cho răng tụt lợi đang được các Bác Sĩ tại Nha Khoa Trinh Tâm thực hiện:

+ Bước 1: Chụp phim và thăm khám cùng Bác Sĩ chuyên khoa.

+ Bước 2: Lên kế hoạch làm răng sứ cụ thể và chốt kế hoạch với bệnh nhân.

+ Bước 3: Điều trị dứt điểm tình trạng tụt lợi

+ Bước 4: Tiến hành mài cùi, lấy dấu và gửi mẫu răng về phòng kỹ thuật để chế tác răng sứ.

+ Bước 5: Thử răng sứ và chỉnh sửa cho đúng khớp cắn của bệnh nhân.

+ Bước 6: Gắn cố định răng sứ và kết thúc quá trình điều trị.

+ Bước 7: Tái khám và vệ sinh răng định kỳ 6 tháng 1 lần.

Nha Khoa Trinh Tâm – Địa chỉ bọc răng sứ uy tín giá rẻ Tân Phú

Hiện nay đã có rất nhiều Nha Khoa lớn và uy tín cùng Bác Sĩ có chuyên môn cao đã có thể thực hiện bọc răng sứ cho răng tụt lợi với chất lượng cao. Nhưng nếu không tìm hiểu kỹ, khách hàng rất có thể chọn nhầm cơ sở kém chất lượng và không được bảo hành. 

bọc răng sứ
Nha Khoa Trinh Tâm địa chỉ bọc sứ giá rẻ chất lượng tại Tân Phú

Nha Khoa Trinh Tâm tự hào là một trong những dịa chỉ bọc răng sứ giá rẻ chất được rất nhiều người lựa chọn bởi những tiêu chí chí sau:

+ Đội ngũ Bác Sĩ là những chuyên gia hàng đầu trong lĩnh vực, giàu kinh nghiệm, chuyên môn cao, sở hữu những chứng chỉ chuyên sâu về răng sứ thẩm mỹ

+ Cơ sở vật chất, trang thiết bị hiện đại được nhập khẩu trực tiếp tại Châu Âu và các quốc gia có nền Y Khoa hàng đầu trên Thế Giới

+ Không gian phòng khám rộng rãi, thiết kế sang trọng.

+ Là đối tác thân thiết của những thương hiệu răng sứ từ các quốc gia hàng đầu như Đức, Mỹ, Italia,…

+ Giá cả hợp lý, minh bạch rõ ràng.

Tụt lợi hoàn toàn vẫn có thể bọc răng sứ, nhưng chỉ khi tình trạng viêm, tiêu xương hoặc độ nhạy cảm răng đã được kiểm soát đúng cách. Điều quan trọng nhất là phải được bác sĩ chuyên sâu thăm khám và đưa ra phác đồ phù hợp để đảm bảo an toàn – bền đẹp lâu dài. Nha Khoa Trinh Tâm – Nha khoa giá rẻ Tân Phú luôn cam kết thực hiện quy trình chuẩn y khoa, thiết kế răng sứ tự nhiên và đảm bảo sát khít, giúp bảo vệ phần chân răng đang yếu, đồng thời cải thiện thẩm mỹ tối đa. Nếu bạn đang lo lắng về tụt lợi và muốn tìm giải pháp phục hình an toàn, hãy đến Trinh Tâm để được tư vấn miễn phí và kiểm tra chuyên sâu ngay hôm nay.

——————————-

Địa chỉ: 104A Độc Lập, Phường Phú Thọ Hoà, TP. HCM

Hotline: 0865 995 079

Website: nhakhoatrinhtam.com

Trả lời